
自信來自迷人的笑容
但如果牙齒不整齊、發黃,總讓人覺得尷尬
好在,我們父母給了我一副還算整齊的牙齒
但…愛喝咖啡、茶的我,咖啡漬跟茶漬很容易附著在牙齒上
雖然定期的洗牙,但也只能將殘留的咖啡垢、茶垢清洗掉
無法幫助牙齒本身變白
坊間雖然有許多美白牙齒的,但又擔心成份不好讓牙齒變的敏感或容易酸痛
得不償失
因此遲遲不敢嚐試

經由朋友的介紹得知在桃園火車站附近、ATT筷食尚旁邊這棟大樓裡
有家仙子美學FairyBeauty
最主要是日式除毛、護膚,但也有牙齒美白
使用不傷牙齒珐瑯質的二氧化鈦
讓你的牙齒變白好幾個色階
使你在微笑時,更加迷人有自信

來到位在八樓之七的仙子美學FairyBeauty
按完門鈴即可進入
入內後,櫃檯有仙子親切的招呼


仙子美學FairyBeauty有很寛敞的接待區
使用時尚、簡約的沙發座椅
整體環境給人感覺非常舒服



如果入內時,仙子們都在忙,可以在沙發區稍坐休息
沙發座位區有種家的溫馨舒適感
搭配店內播放的柔和音樂,讓人感覺非常放鬆

店裡也可以發現有許多小地方都有小巧思

在店內也可以看到有推出許多優惠的方案
換季紓敏保濕課程只要999元,而且還有買一送一的優惠
真的超級划算的

另外還有單次消費跟套餐消費的優惠活動
單次消費只要公開分享就有9折優惠,下次前來還可以享有85折的優惠(請大家告訴大家)
套餐消費最多還有買9送3的優惠,而且還不限時間

第一次來到仙子美學FairyBeauty 會先填寫基本資料
仙子也會親切的說明及介紹
我發現這裡的仙子都超和譪可親的
讓我初來乍到、又面對著沒有嘗試過牙齒美白的我放鬆不少
仙子特別說明,牙齒美白是針對牙齒本身去做美白
但長時間附著在牙齒上頑固的咖啡垢、茶垢或者是煙垢比較沒辦法處理掉
而且因為溫和所以無法一次就達到非常白的境界
可循序漸進的慢慢變白
對於想讓牙齒變白又擔心傷害牙齒的人來說
這種牙齒美白課程非常可以接受!!

牙齒美白的介紹
在沙發等候時,也有稍微拜讀了一下

店內許多小地方都有貼心提醒「打卡優惠」
如果要節省荷包、或是小資族女孩想變美但經濟有限的人更是適合

其它優惠也有秀在這裡
有折扣、特價、買一送一
難怪雖然是平日的晚上來,而又隱身在大樓裡、沒有明顯的招牌
也有不少客人前來

每次看著電視上的藝人一開口就露出超潔白的牙齒
總讓人覺得很羨慕
真希望自己也有一口亮白的牙齒

仙子美學FairyBeauty 提供日式無痛除毛、專業護膚及牙齒美白
日式無痛除毛及專業護膚是屬於比較隱私的課程
所以都在獨立的美容室裡


而牙齒美白則在半開放式的區域
但如果同時有兩位在進行牙齒美白
中間則會用簾子隔開,避免尷尬

仙子美學FairyBeauty在進行牙齒美白時會準備這些物品
因為嘴巴要一直張著,所以擔心嘴唇太乾
所以會幫忙塗抹些許凡士林滋潤一下
另外備有牙刷及牙刷套
在進行牙齒美白後需進行刷牙
刷好後,牙刷可以帶走也可以放在仙子美學FairyBeauty,以備著下次使用

座椅是寬敞的沙發
可以往後躺下,底部也會升起
讓人呈現斜躺的姿勢, 所以還滿舒服的
備有靠枕及小毯子可以使用

在牙齒美白課程開始前
胸前會圍上圍兜兜,以備牙齒美白療程進行完起身口水會流下來XDDD
嘴巴兩側也會塞上棉條,吸收多餘的唾液
因每個人分泌的程度不同,也可能會很多也可能不會很多

一開始,仙子會先進行牙齒顏色比對
先看看原本的牙齒在哪個色階
像我今天比對完,牙齒是在12的色階並拍照記錄


接著再塗抹厚厚一層二氧化鈦在牙齒上
因為我是第一次
仙子也會耐心的教導及說明要如何塗抹
所以完全不用擔心或緊張害怕


塗抹完畢,只要輕輕One Touch
打開開關就可以進行了


雖然仙子說,在進行牙齒美白時會因個人體質不同
或許有些人的牙齒太過敏感會產生微微酸酸的感覺
但對於我來,是完全「無感」的
而且太舒服了,沒多久我就進入夢鄉了XDDD
還有~進行照射時,如果覺得口水太多是可以吞嚥下去的
這樣就可想而之,這二氧化鈦是多無害了吧?!

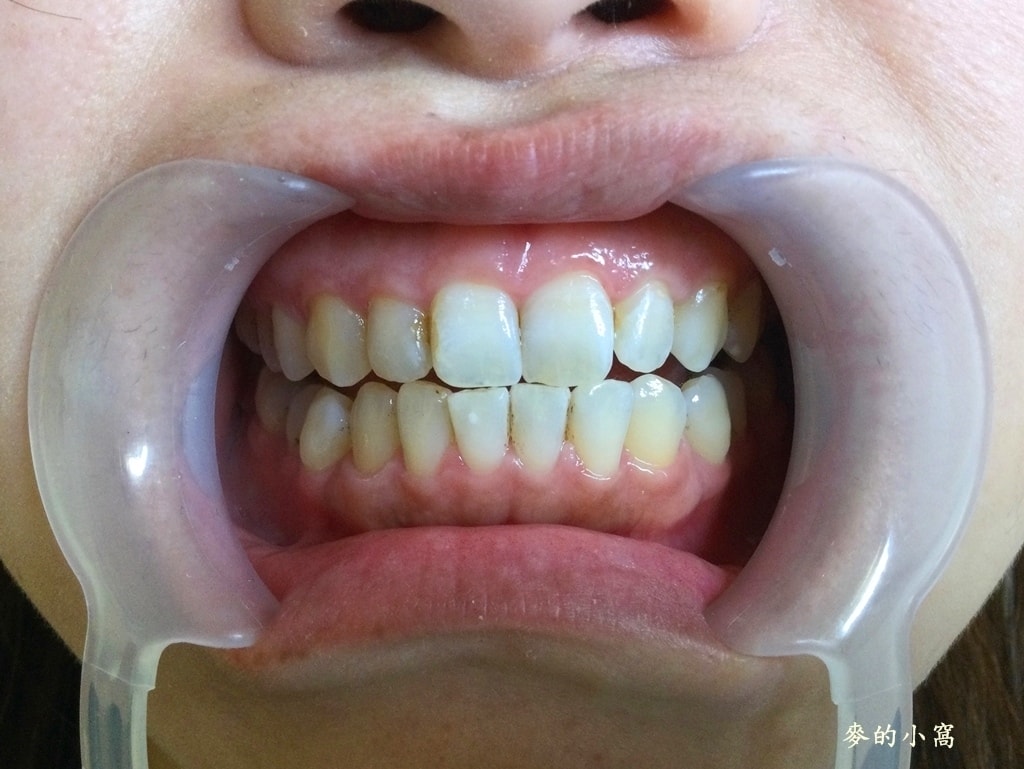
<美白前>
任何成果都是要有前/後的比對
才能更明顯比較出差異

<美白後>
鏡子一照,我立馬發現牙齒真的變白了
經比對色階,發現我美白後牙齒顏色來到色階8
一下躍進了好幾個色階
仙子說,我的效果特別明顯
當然,我也非常滿意這樣的成果

仙子美學FairyBeauty不但在桃園有店,在台北也有店
所以如果你是住在台北的朋友,要前往也是非常方便的
而且仙子美學裡的仙子都超親切的
尤其我今天做了牙齒美白的課程,非常滿意
推薦給跟我一樣想美白牙齒但又擔心傷害到牙齒的人~
仙子美學 FairyBeauty-桃園店
電話:0974-223 221
營業時間:11:00~20:00
地址:桃園市桃園區復興路168號8樓之7
FB:https://www.facebook.com/fairybeautyhairremoval
官網:https://www.fairybeauty.com.tw
~~如果喜歡我的文章,請幫忙按個讚或分享唷 ^^~~


